جدیدترین متود برای درمان بیدندانی
از دست دادن دندانها، یکی از تجربههای ناخوشایند و تأثیرگذار در زندگی هر فرد است. علاوه بر کاهش زیبایی لبخند، این اتفاق میتواند بر توانایی جویدن، تلفظ صحیح و حتی اعتمادبهنفس تأثیر بگذارد. خوشبختانه، پیشرفتهای چشمگیر در علم دندانپزشکی باعث شده که امروزه روشهای بسیار پیشرفتهتری برای جایگزینی دندانهای از دسترفته ارائه شود. در میان تمام روشهای مدرن، اوردنچر بر پایه ایمپلنت بهعنوان جدیدترین و مؤثرترین متود درمان بیدندانی شناخته میشود.
بیدندانی چیست و چرا درمان آن اهمیت دارد؟
بیدندانی به وضعیتی گفته میشود که بیمار بخشی یا تمامی دندانهای خود را از دست داده و در نتیجه در عملکرد دهان دچار مشکل میشود. اگر این وضعیت درمان نشود، عوارضی مانند تحلیل استخوان فک، تغییر فرم صورت، مشکلات گوارشی و افت گفتار بهمرور بروز خواهند کرد. به همین دلیل، درمان بهموقع بیدندانی نه تنها برای زیبایی بلکه برای سلامت عمومی بدن نیز ضروری است.
معرفی اوردنچر؛ جدیدترین روش برای درمان بیدندانی

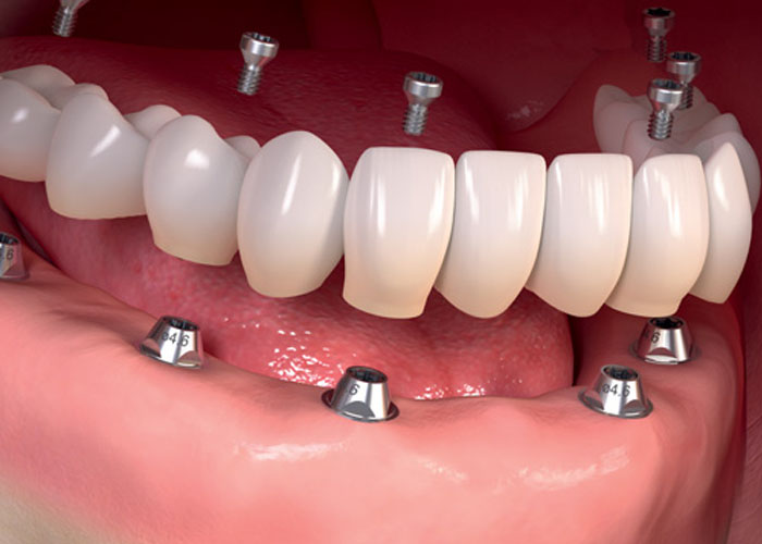
اوردنچر (Overdenture) روشی نوین و ترکیبی از دندان مصنوعی و ایمپلنت است. در این تکنیک، چند پایه ایمپلنت در استخوان فک قرار داده میشود و سپس پروتز (دستدندان) بهصورت قفلشونده روی آنها سوار میشود. نتیجه، دندانی محکم، طبیعی و کاملاً پایدار است که نه هنگام صحبت حرکت میکند و نه هنگام غذا خوردن جدا میشود.
از نظر علمی، اوردنچر توانسته بسیاری از مشکلات دندان مصنوعی سنتی را برطرف کند و همزمان مزایای ایمپلنت را نیز در خود جای دهد. به همین دلیل، امروزه بسیاری از متخصصان از آن به عنوان جدیدترین متود برای بیدندانی کامل یا نسبی یاد میکنند.
از نظر هزینه نیز، قیمت اوردنچر معمولاً کمتر از ایمپلنت تمام فک است اما کیفیت، زیبایی و دوام بالاتری نسبت به دندان مصنوعیهای متحرک دارد؛ از همینرو برای بسیاری از بیماران انتخابی هوشمند و اقتصادی محسوب میشود.
مزایای اوردنچر نسبت به روشهای قدیمی
۱. ثبات بالا و جلوگیری از لق شدن دندان:
دندان مصنوعیهای قدیمی هنگام صحبت یا خوردن غذا حرکت میکردند؛ اما در اوردنچر بهدلیل اتصال محکم به پایههای ایمپلنت، چنین مشکلی وجود ندارد.
۲. پیشگیری از تحلیل استخوان فک:
در دندان مصنوعی معمولی، فشار مستقیم به لثه وارد میشود و این امر باعث تحلیل استخوان میگردد. ولی ایمپلنتهای اوردنچر مانند ریشههای واقعی دندان عمل کرده و مانع از تحلیل فک میشوند.
۳. ظاهر طبیعی و لبخند زیبا:
به لطف طراحی دیجیتال و متریال پیشرفته، ظاهر اوردنچر کاملاً مشابه دندان طبیعی است و چهره را جوانتر نشان میدهد.
۴. افزایش قدرت جویدن و لذت غذا خوردن:
در اوردنچر، قدرت جویدن تا چند برابر نسبت به دندان مصنوعیهای سنتی افزایش مییابد و بیمار میتواند غذاهای سفتتر را نیز بهراحتی مصرف کند.
مراحل انجام اوردنچر
درمان اوردنچر معمولاً در چند مرحله انجام میشود:
- ارزیابی فک و تصویربرداری سهبعدی:
ابتدا تراکم استخوان بررسی میشود تا تعداد و موقعیت دقیق ایمپلنتها مشخص گردد. - کاشت ایمپلنتها:
در هر فک معمولاً بین ۲ تا ۴ پایه کاشته میشود. عمل جراحی در محیط استریل و با بیحسی موضعی انجام میگیرد و درد بسیار کمی دارد. - دوره ترمیم و جوش خوردن ایمپلنت:
در این مدت که حدود ۳ ماه طول میکشد، پایهها با استخوان فک ادغام میشوند. - نصب پروتز نهایی:
در پایان، اوردنچر بر پایهها سوار شده و دندانهایی محکم و طبیعی در اختیار بیمار قرار میگیرد.
انواع اوردنچر
در کلینیکهای مدرن، بسته به نیاز و شرایط فک بیمار، از چند نوع سیستم استفاده میشود:
- اوردنچر با اتصال گوی و سوکت (Ball Attachment): ساده، مقرونبهصرفه و مناسب برای فک پایین.
- اوردنچر با میله فلزی (Bar Attachment): دارای استحکام بالا و مناسب برای فک بالا.
- اوردنچر مغناطیسی: بسیار راحت برای افرادی که در گذاشتن یا برداشتن دندان مصنوعی دچار محدودیت حرکتی هستند.
جدیدترین تکنولوژیها در اجرای اوردنچر
در سالهای اخیر، فناوریهای دیجیتال وارد عرصه اوردنچر شدهاند. استفاده از اسکن داخل دهانی، طراحی دیجیتال لبخند (Digital Smile Design) و چاپ سهبعدی قالب دندانها باعث شده نتیجه درمان دقیقتر و طبیعیتر از همیشه باشد.
برخی مراکز مانند کلینیک دندانپزشکی سهلان در تهران از پیشرفتهترین تجهیزات دیجیتال برای ساخت و نصب اوردنچر استفاده میکنند تا کوچکترین خطا در طراحی یا فیت پروتز از بین برود.
کاندید مناسب برای اوردنچر
- افرادی که همه دندانهای خود را از دست دادهاند.
- کسانی که از دندان مصنوعی لق و ناپایدار رنج میبرند.
- بیماران با استخوان فک متوسط یا ضعیف که امکان ایمپلنت تمام فک ندارند.
- افرادی که به دنبال جایگزینی باکیفیت اما مقرونبهصرفهتر از ایمپلنت کامل هستند.
مراقبتهای لازم پس از نصب اوردنچر
- هر روز دهان و دندانها را با مسواک نرم و دهانشویه تمیز کنید.
- در شبها اوردنچر را خارج کرده و در محلول ضدباکتری قرار دهید.
- هر ۶ ماه برای چکاپ و تنظیم پایهها به دندانپزشک مراجعه کنید.
- از جویدن مواد بسیار سفت یا باز کردن در بطری با دندان خودداری کنید.
مزایای انجام اوردنچر در کلینیکهای تخصصی
اجرای اوردنچر نیاز به دقت، دانش و ابزار تخصصی دارد. به همین دلیل، انجام آن در کلینیکهایی مانند سهلان دنتال مزایای زیر را به همراه دارد:
- طراحی دیجیتالی اختصاصی برای هر بیمار
- استفاده از برندهای معتبر ایمپلنت تیتانیومی
- شرایط پرداخت اقساطی بدون بهره
- تضمین کیفیت و گارانتی خدمات پس از درمان
- نظارت تیم متخصص ایمپلنت و پروتز
جمعبندی
اوردنچر را میتوان جدیدترین و کاملترین متود درمان بیدندانی دانست؛ روشی که استحکام ایمپلنت، زیبایی طبیعی دندان و راحتی دندان مصنوعی را در خود ترکیب کرده است.
با این روش، بیماران میتوانند دوباره با اعتمادبهنفس لبخند بزنند، صحبت کنند و از غذا خوردن لذت ببرند. اگر به دنبال درمانی مدرن، مطمئن و ماندگار برای بیدندانی هستید، اوردنچر بر پایه ایمپلنت بهترین انتخاب شماست.

